Are Braces Necessary for Fixing an Overbite?

| Updated:
Reading Time: 8 min
0 Comment
Are Braces Necessary for Fixing an Overbite?

A small overbite may not be cause for concern. If your dentist or orthodontist finds that the tooth misalignment causes problems with your bite, your doctor may recommend overbite treatment.

Teeth straightening used to be very costly and time-consuming. The advent of clear braces, also known as clear aligners, now offers an affordable overbite treatment option that does not require the placement of uncomfortable metal brackets and wires.

ALIGNERCO clear aligners can correct your overbite within a few months. And you won’t even have to visit the dentist when completing the treatment.

What Is An Overbite?

Many of us have heard the term, but what is an overbite?

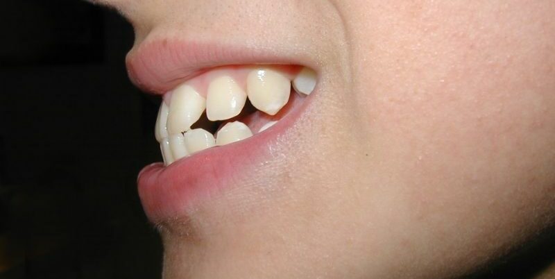
A severe overbite is sometimes known as “buck teeth.” Overbite is a type of misalignment of the teeth (malocclusion).

The alignment issue results from the upper front teeth overlapping the lower front teeth. For people with an overbite, their bottom row of teeth are often hidden by the top row.

Overbite Vs. Overjet

Overbite is often confused with overjet. Both malocclusions result from the orientation between the top and bottom row of teeth.

With an overbite, the top row of teeth points straight down. An overjet causes the top row of teeth to point forward diagonally. If you suffer from overjet, you can correct the misalignment using traditional braces or clear aligners.

Types of Overbites

The most common type of overbite, a neutrocclusion, results from the upper teeth overlapping the bottom teeth. Children and adults with this less severe form of overbite still have a functional bite.

A distocclussion results from a more severe overlap of the lower teeth. The front teeth can appear to protrude, which can cause the appearance of “buck teeth.” A distocclusion can result in minor jaw discomfort and bite issues.

A mesiocclusion often results from the patient’s lower jaw being larger than the upper jaw. The misalignment can leave lower teeth appearing more prominent.

How Is Overbite Diagnosed?

There are two basic ways to diagnose an overbite. Your dentist or orthodontist can perform a visual inspection of your teeth. There are two basic ways to diagnose an overbite.

Your dentist or orthodontist can perform a visual inspection of your teeth. Your dentist may use X-rays and other forms of imaging.

If you opt to work with cost-effective clear aligners for correcting an overbite, then ALIGNERCO will send you an impression kit that will record your dental impressions from the convenience of your home. Our dental experts will examine the impressions to determine if you have an overbite.

Is an Overbite Harmful to My Oral Health?

Any type of misalignment of the teeth can cause long-term oral health issues. Beyond bite-related issues, many find an overbite to be unattractive. Common problems that result from untreated overbite include:

  • Excess wear on tooth enamel
  • Jaw pain
  • The appearance that the chin is too small for the face
  • Tooth decay
  • Issues with speech clarity
  • Increased risk of gum disease

An overbite can also lead to low self-esteem. If your teen has this type of tooth alignment issue, treating it at a young age can prevent emotional and self-esteem issues that can result from an overbite.

Causes of an Overbite?

Like other forms of teeth alignment problems, an overbite can be hereditary. The size and shape of the jaw result from genetic factors that can, in turn, lead to an overbite. Here are common examples of what causes an overbite.

Early Childhood Behaviors

When an overbite is not genetic, it often is the result of thumbsucking or another early childhood behavior like nonnutritive sucking behavior (NNSB). NNSB is a sucking behavior that does not result in nourishment.

The use of a pacifier after the age of 3 and tongue thrusting can also contribute to an overbite. The act of breastfeeding can actually reduce the risk of overbite and other teeth alignment issues in babies.

Causes of Overbite in Adults

After early childhood, habits like nailbiting and involuntary habits like teeth grinding (bruxism) can cause teeth alignment problems.

One cause of teeth alignment issues like overbite in adults is a failure to wear retainers following orthodontic treatment. If you developed an overbite after it was initially treated, you may be a great candidate for retreatment using our specialized clear aligners.

Overbite Treatment Options

The only effective way to treat an overbite is to gradually move your teeth into better alignment through orthodontic treatment. Certain adolescents can benefit from headgear that can correct the gap between the jaws as the child’s facial structures develop.

For most teens and adults, there is a wide range of orthodontic treatments that basically fall into two camps: metal braces and clear aligners.

Brief Overview of Metal Braces Vs. Clear Aligners

Orthodontists have used metal braces to straighten teeth for several decades. All traditional braces share the same basic concept.

An orthodontist cements metal brackets along the front (or, in some cases, the back) of a patient’s teeth. Then, a metal archwire pulls on the brackets to move the teeth into better alignment.

Clear aligners are a relatively new technology that does not require the attachment of metal appliances to your teeth. The nearly invisible clear trays slowly push teeth into better alignment.

Options for Traditional Braces

Undergoing orthodontic treatment using metal braces is often costly and very time-consuming. Treatment costs range from several thousand to $10,000 or more, and most dental insurance companies won’t cover treatment costs. Here are several common options for overbite correction using braces.

Traditional Metal Braces

This is what most folks visualize when they hear the word “braces.” Traditional metal braces are placed by orthodontists. Spacers may be used before the orthodontic attachments are placed.

Once the teeth are ready to receive braces, steel brackets, wires, and rubber bands are used to move teeth into better alignment.

Modern braces are not as bulky as they were in the past, but the appearance of braces is still quite noticeable. Traditional metal braces remain the most common form of braces.

Self-Ligating Braces

Self-ligating braces look and function similarly to traditional metal braces. Unlike traditional braces, self-ligating braces do not require rubber bands. A special clip holds the archwire in place.

One benefit of this type of braces is fewer trips to the orthodontist. Self-ligating braces can be made of ceramic, metal, or clear material.

Ceramic (Clear) Braces

Metal brackets are often the most visually unattractive part of having metal braces. Ceramic braces over a more discreet option. The metal archwire will still be visible, but the tooth-colored or clear brackets are far less noticeable.

Ceramic braces are more brittle than metal. Staining is more of a concern, so you’ll have to keep up with oral hygiene if you go the ceramic braces route.

Lingual Braces

Lingual braces typically aren’t a great option for people who have an overbite. A severe overbite can cause the braces that a placed behind teeth to rub against your lower teeth. The main advantage of lingual braces is that attachments are placed behind teeth where they cannot be seen.

Are Braces My Only Option?

In some situations, braces might be a great option for teens. Many adults would rather not undergo the awkward-looking treatment using metal brackets and wires. For teens and adults with an overbite, clear braces offer a convenient and affordable alternative solution.

Teeth Straightening Using Clear Aligners

Beyond being comfortable and effective, clear aligners are a cost-effective treatment alternative that can save you several thousand dollars. All of our treatment options deliver beautiful results that can eliminate the presence of overbite and other forms of malocclusions.

Pricing Options with ALIGNERCO

SmileAdvantage offers you a complete orthodontic treatment option for $895. Retainers and a teeth whitening kit are included. SmileFlex offers our treatment plan for 12 easy payments of $81 a month. SmileFlex Easy is $175 a month.

How the Treatment Works

You will receive a teeth impression kit that you will complete in the convenience of your home before mailing it to one of our offices. Our team of experts will analyze your bite and overbite issues before customizing a treatment plan to straighten your teeth and address any jaw issues that you have as a result of your overbite.

Benefits of Clear Braces for Addressing An Overbite

Clear aligners offer the same orthodontic benefits as traditional metal braces. A growing number of teenagers and adults are opting for clear braces due to the wide range of benefits that clear aligners afford.

Clear Aligners Are More Affordable

Orthodontic treatments require an investment of several thousand dollars or more. With treatment options starting at $895, you can save several thousand dollars by using the proven treatment options offered by ALIGNERCO.

Clear Braces Treat Overbite More Quickly than Metal Braces

Traditional braces can take years to correct an overbite. The process of undergoing the placement of spacers and then various attachments can require multiple visits to the orthodontist.

Once you receive your first set of trays from ALIGNERCO, you can begin treatment immediately. Your overall treatment will be complete in as few as six months.

Keeping track of your treatment timeline is easy. Once you receive your custom trays, you will know exactly how long your treatment for overbite will take to complete.

Undergo Treatments Without Stepping into a Dentist Office

One reason that ALIGNERCO can provide affordable orthodontic treatments is that you do not have to visit a dentist or orthodontist to undergo the treatment. In fact, from beginning to end, you never have to set foot inside a dental office.

Clear Aligners Are Convenient

The attachments that are used with metal braces are not removable. Orthodontic treatments also require regular visits to the orthodontist for adjustments and checkups.

Clear aligners do not require the placement of attachments and wires. Simply slip the clear trays over your teeth and remove them to brush and eat. As long as the aligners are worn for 22 hours a day, you’ll be on track to correct your overbite issues.

Clear Aligners are Discrete

ALIGNERCO clear aligners are invisible. While the transparent trays are snuggly placed over your teeth, few people will be able to tell that you are undergoing treatment for your overbite.

To keep your trays clear, be sure to brush them daily using warm water and your toothbrush. You can also soak the aligners in a denture cleaning formula.

How Overbite Treatment Using Clear Braces Works

Traditionally, metal braces have been used to treat overbite. Since malocclusion is typically the use of an overbite, orthodontic treatment using clear aligners is an effective treatment for correcting an overbite.

In a few, rare cases, patients may require jaw surgery or treatment using metal braces, but the majority of overbite cases can be treated using clear aligners from ALIGNERCO.

Customized Treatment for Fixing Overbite

Your customized treatment will be designed to address your overbite. With each successive tray placement, your teeth will be brought into better alignment.

The trays gently nudge your teeth into better alignment using micromovements. This slowly reorientates the position of your jaws and eliminates the presence of an overbite.

Maintaining Your Results

Once your overbite has been eliminated, you’ll need to wear your retainers each night to prevent teeth shifting. By wearing your retainers regularly, you can prevent the return of any signs of overbite indefinitely.

Treat Your Overbite Using Clear Aligners

You don’t have to live with the cosmetic and oral health problems associated with having an overbite. Clear braces for teeth straightening and overbite treatment is a cost-effective and convenient means of improving the appearance and function of your teeth.

Millions of Americans have relied on clear aligner technology to address teeth alignment problems. In as few as six months, you can enjoy the benefits of a beautiful and straight smile. To get started with this affordable overbite treatment, take our free online survey today.

Back to blog