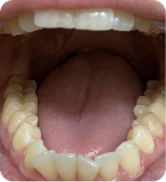
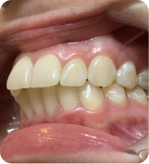
Alexander's Smile Journey
- Plan SmileAdvantage - Dual Arch
- Issue Crowding and Overbite
Real people. Real journeys. Real results. See how ALIGNERCO has transformed smiles and confidence, one story at a time.
Start your journey
Issue: Crowding and Overbite
Treatment: 6 months
Stages: Upper 15 - Lower 15
Plan: SmileAdvantage - Dual Arch
“Great experience, great price, and a great result"
The aligning process was straightforward and simple, and support was available and helpful every step of the way. They even let me see a virtual preview of my result and make changes to it until I was happy with how it would look.
I feel much more professional now with straight teeth, and the price was great because I paid for just what I needed. I was even able to speak while wearing them without it impeding my speech. The whole process took about 6 months, and I couldn’t be more pleased.
I was so satisfied that I even bought a pair for my girlfriend afterwards.
Would you like to try ALIGNERCO’s SmileAdvantage plan too?
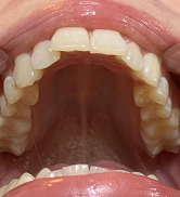
Issue: Spacing and Overbite
Treatment: 5 months
Stages: Upper 15 - Lower 13
Plan: SmileAdvantage - Dual Arch
Outcome
Closed unwanted gaps for a more even smile
Corrected overbite, improving bite function and comfort
Enhanced overall facial balance and dental aesthetics
“I couldn't be happier with the results"
The process was simple and easy to follow. It only took 5 months to completely straighten and correct my teeth! Excellent value and service-thank you, ALIGNERCO!
Would you like to try ALIGNERCO’s SmileAdvantage plan too?
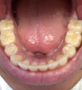
Issue: Crowding
Treatment: 6 months
Stages: Upper 15 - Lower 15
Plan: SmileAdvantage - Dual Arch
“I would recommend it to
anyone having issues with their teeth”
Had a great experience with ALIGNERCO. Customer service is top notch and I am happy with my smile. The aligners are comfortable and the process was easier and smoother than anticipated. As promised, gradually over time, my teeth and smile transformed my mouth to create straighter teeth and a better bite.
Would you like to try ALIGNERCO’s Smile Advantage plan too?
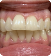
Issue: Crowding and Overbite
Treatment: < 6 months
Stages: Upper 15 - Lower 15
Plan: SmileAdvantage - Dual Arch
“ALIGNERCO has been an absolute breeze”
Their customer service is beyond incredible, they are so patient and kind. It's super affordable and I
got a beautiful smile within less than six months! Highly recommend it!
Would you like to try ALIGNERCO’s SmileAdvantage plan too?
Issue: Spacing
Treatment: 6 months
Stages: Upper 15 - Lower 15
Plan: SmileAdvantage - Dual Arch
“I couldn't be happier with my experience using ALIGNERCO!”
From start to finish, the process was seamless, and the results have truly exceeded my expectations. The aligners were comfortable, easy to use, and fit perfectly into my daily routine. The team was incredibly supportive, always answering my questions and providing guidance along the way. I also appreciated the regular check-ins to monitor my progress. Now, my teeth are straight, my smile is brighter, and my confidence has skyrocketed. I'm thrilled with the transformation and can't believe how simple the journey was. If you're considering aligners, I wholeheartedly recommend ALIGNERCO. It's one of the best decisions I've ever made!
Would you like to try ALIGNERCO’s SmileAdvantage plan too?
Issue: Crowding
Treatment: 6 months
Stages: Upper 15 - Lower 15
Plan: SmileFlex - Dual Arch
“I'm really glad I chose ALIGNERCO for my teeth straightening journey”
From the start, the process was incredibly simple and convenient. The at-home impression kit made it easy to get started without any trips to the dentist, and the aligners themselves are comfortable and easy to wear. The support team has been responsive and helpful whenever I had questions, and the whole treatment process has been smooth. I appreciate how affordable ALIGNERCO is compared to traditional braces or other clear aligner brands, without sacrificing quality. My teeth are already showing noticeable improvement, and I couldn't be happier with the results so far!
Would you like to try ALIGNERCO’s SmileFlex plan too?
Issue: Overjet and Crowding
Treatment: 6 months
Stages: Upper 15 - Lower 15
Plan: SmileAdvantage - Dual Arch
“I would definitely recommend ALIGNERCO over the other brands if you're considering improving your smile!”
ALIGNERCO is the most affordable option for straightening your teeth. It's MUCH less expensive than braces and other aligner brands. But the quality is just as good, if not better! I like that the costs are upfront, with one payment that covers impressions, all your aligners, a retainer, teeth whitening, and everything else you could need in your teeth straightening journey! You have the option to wear aligners just while you sleep, or choose all-day aligners for quicker results. Their customer service is very responsive and helpful. And it gives me peace of mind to know that everything is approved by a dental professional.
Would you like to try ALIGNERCO’s SmileAdvantage plan too?
Issue: Crooked Teeth
Treatment: 8 months
Stages: Upper 20 - Lower 20
Plan: NightAdvantage - Dual Arch
“Great service”
Aligners fit well and are perfecting my smile. Everything went smoothly and it was easy. I had no difficulties whatsoever.
Would you like to try ALIGNERCO’s NightAdvantage plan too?
Issue: Crowding and Overbite
Treatment: 8 months
Stages: Upper 20 - Lower 20
Plan: NightAdvantage - Dual Arch
“So far so good”
I just started with these night aligners, but the price is great and the customer service is very reliable. I am able to ask questions and get the support I need. I like my night retainers and can’t wait to see how my teeth improve! I’ve only had them for a few weeks, so I will update with my before and after photos.
Would you like to try ALIGNERCO’s NightAdvantage plan too?
Issue: Protruding
Treatment: 6 months
Stages: Upper 15 - Lower 15
Plan: SmileFlex - Dual Arch
“The product was perfect”
ALIGNERCO was super simple to use with great results. Their customer service is very responsive and they communicate every step of the way. I got the aligners to assist with my crooked teeth in a discreet way.
Would you like to try ALIGNERCO’s SmileFlex plan too?
